Was können Sie von welcher Untersuchung erwarten

    Zur Untersuchung Ihres ungeborenen Kindes und Ihrer Sicherheit bieten wir Ihnen deshalb ein umfangreiches Spektrum der Pränataldiagnostik. Speziell hierfür sind wir durch besondere Expertise, d.h. pränataldiagnostische Qualifikation und modernste hochauflösende Ultraschall- und Farbdopplertechnik einschließlich 3D/4D ausgestattet.

Damit wir Ihnen die maximale Sicherheit der Untersuchung bieten können, sollte die gewünschte Untersuchung in einem optimalen Zeitpunkt stattfinden. Wenn die Untersuchung z. B. ab der 11+0. Schwangerschaftswoche (SSW) möglich ist, dann bedeutet dies, dass Sie sich mindestens in der 12. SSW befinden müssen.

Untersuchungsmethode Optimaler Zeitpunkt Ziel
NIPT
(nicht invasive pränatale Testung)
Ab 11+0 SSW Risikoabschätzung für eine Trisomie 21
Chorionzottenbiopsie Ab 11+0 SSW Chromosomenuntersuchung, Ausschluss Trisomie 21
Frühliche Fehlbildungsdiagnostik / mit früher fetaler Echokardiograpie 12+0 – 13+6 SSW Früher Ausschluss oder Erkennung von Fehlbildungen und Entwicklungsstörungen
Ersttrimester-Screening 12+0 – 13+6 SSW Risikoabschätzung für eine Trisomie 21
Präeklampsie-Screening 12+0 – 13+6 SSW Risikoabschätzung für eine Präeklampsie
Fruchtwasseruntersuchung Ab 16+0 SSW Chromosomenuntersuchung, Ausschluss Trisomie 21
Nabelschnurpunktion Ab 18+0 SSW Chromosomenuntersuchung, Ausschluss Trisomie 21
Differenzierter
Organultraschall/ Echokardiographie
20+0 – 21+6 SSW Ausschluss oder Erkennung von Fehlbildungen und Entwicklungsstörungen
NIPT (Nicht invasive pränatale Testung) >>>

Ab der abgeschlossenen Schwangerschaftswoche 11

   Seit 2012 stehen molekulargenetische Untersuchungen zur Verfügung, mit denen nicht-invasiv aus dem Blut der Mutter die häufigsten Chromosomenstörungen mit hoher Sicherheit diagnostiziert werden können. Die Verfahren werden zusammenfassend bezeichnet als nicht-invasive pränatale Testung (non-invasive prenatal testing), abgekürzt NIPT.


Im Blut der Mutter befinden sich im zellfreien Blutplasma kleine freie Fragmente kindlichen Erbmaterials (DNA), sog. zellfreie fetale DNA. Diese kindlichen DNA-Fragmente stammen aus dem Mutterkuchen. Mittels modernster molekularbiologischer Techniken kann diese kindliche zellfreie DNA analysiert werden, wobei festgestellt werden kann, ob mehr DNA von einem Chromosom vorkommt, als zu erwarten wäre. Mit diesem Verfahren kann mit sehr hoher Sicherheit eine Trisomie 21, 18 oder 13 diagnostiziert oder ausgeschlossen werden.

Die "10 goldenen Regeln für die Durchführung eines NIPT-Tests" finden Sie hier als PDF.

CHORIONZOTTENBIOPSIE (PLAZENTESE) >>>

Ab der abgeschlossenen Schwangerschaftswoche 11

Da der Mutterkuchen (Plazenta, in der Frühschwangerschaft Chorion genannt) von der befruchteten Eizelle abstammt, können Zellen daraus zur Analyse kindlicher Chromosomen herangezogen werden.

Sinnvoll bei Auffälligkeiten des Embryos im Ultraschallbild, bei hohem Risiko im Ersttrimester Screening, bei Erbkrankheiten oder Stoffwechselstörungen in der Familie oder bei Ihrem dringenden Wunsch nach einer frühen Diagnostik.

PRÄNATALE DIAGNOSTIK IM 1. TRIMESTER >>>
Frühe Fehlbildungsdiagnostik >>>

Schwangerschaftswoche 12+0 BIS 13+6

Während dieser frühen Phase der Schwangerschaft führen wir bei guten Untersuchungsbedingungen eine frühe Fehlbildungsdiagnostik durch und können bereits 40-50 % aller Fehlbildungen ausschließen. Äußere Umstände wie starke mütterliche Bauchdecken oder eine ungünstige Lage des Kindes schränken die Untersuchungsmöglichkeit jedoch trotz hoch auflösender Ultraschallgeräte ein. Optimaler Zeitpunkt für diese Diagnostik ist zwischen 12+0 und 13+6 SSW.

FRÜHE FETALE ECHOKARDIOGRAPHIE >>>

Schwangerschaftswoche 11+1 BIS 13+6

Durch hochauflösende Ultraschallgeräte und entsprechende Qualifizierung der Untersucher kann bereits zu einem früheren Zeitpunkt, d.h. zwischen der 12.-14.SSW, das kindliche Herz im Rahmen einer frühen fetalen Echokardiographie beurteilt werden. Bei einer unauffälligen Darstellung des Herzens in diesen Schwangerschaftswochen können bis zu 65% der Herzfehler ausgeschlossen werden. An eine unauffällige frühe fetale Echokardiographie sollte sich immer eine Untersuchung des kindlichen Herzens in der 20.-22. SSW anschließen (einige Herzfehler können sich noch in der Gebärmutter entwickeln).

ERSTTRIMESTER-SCREENING >>>

Schwangerschaftswoche 12 bis 13+6

 

Durch die Messung der fetalen Nackentransparenz kann von der 11. bis zum Ende der 13. Schwangerschaftswoche eine Risikoberechnung in Bezug auf die altersabhängige Chromosomenstörungen wie Trisomie 21, Trisomie 18 und Trisomie 13 durchgeführt werden. In dieser Zeit findet man häufig eine Wasseransammlung unter der Haut des Nackens (so genannte Nackentransparenz oder NT für „nuchal translucency“). Zusätzlich zur NT-Messung untersuchen wir auch andere Ultraschallmarker wie Nasenbein, Trikuspitalklappenfluß und Ductus venosus. Ist die NT z.B. verbreitert, steigt die Wahrscheinlichkeit für eine Erkrankung des Kindes. Deren Messung setzt ein gut auflösendes Ultraschallgerät und Erfahrung des Untersuchers voraus. Mit einer zusätzlichen mütterlichen Blutuntersuchung (PAPP-A und freies ß-HCG) kann die Aussagekraft des Ultraschall-Screening gesteigert werden, sogenannter kombinierter Test. 

Ihr persönliches Risiko kann von der 12. bis zur 14. Schwangerschaftswoche mit Hilfe folgender Parameter bestimmt werden:

 

- mütterliches Alter
- das genaue Alter der Schwangerschaft (Schädel-Steiß-Länge des Kindes)
- ihre ethnische Herkunft
- Entstehung der Schwangerschaft (spontan oder nach einer Sterilitätstherapie)
- vorangegangene Schwangerschaft mit Chromosomenstörung
- die Breite der Nackentransparenz des Ungeborenen
- PAPP-A und freies ß-HCG aus mütterlichem Blut

 

 

Die Befunde werden ausgewertet und mittels eines Computerprogramms der Fetal Medicine Foundation London (FMF London) ein individuelles Risiko ermittelt, welches als Verhältnis-Zahl angegeben wird (z.B. Risiko Trisomie 21 1:500 bedeutet, dass von 500 Schwangeren mit denselben Werten eine Frau ein Kind mit Trisomie 21 bekäme).

 

Die Entdeckungsrate für das Trisomie 21 durch die Wahrscheinlichkeitsrechung nimmt mit steigender Anzahl der eingezogenen Faktoren zu. Bezieht man Alter, mütterliche Blutwerte und die Nackentransparenz in die Risikoberechnung ein, so entdeckt man bis zu 90% aller Schwangerschaften mit Down-Syndrom, bei einer falsch positiv Rate von 5 % (bei 5% aller Schwangeren wird fälschlicherweise eine Trisomie 21 angezeigt)

 

Das Ergebnis wird als Wahrscheinlichkeit ausgedrückt und in 3 Risikoklassen eingeteilt, die unterschiedliche Vorschläge zur weiteren Abklärung beinhalten.

 

 

  • Hohes Risiko: Risiko ist 1:50 und höher (1:2 -1:50). In diese Risikoklasse fallen etwa 2 % aller Screeninguntersuchungen und 88 % aller Fälle mit Trisomie 21. Für diese Schwangeren wird eine Empfehlung zu invasiven Maßnahmen wie Chorionzottenbiopsie oder Amniozentese.

  • Intermediäres Risiko: Risiko ist 1:51 - 1:1000. In diese Risikoklasse fallen 20 % aller untersuchten Schwangeren und 11 % aller Fälle mit Trisomie 21. Empfohlen wird eine erweiterte Ultraschalluntersuchung mit Einsetzen der Zusatzmarker, diese sind die Darstellbarkeit des fetalen Nasenbeins, das Blutflussmuster über die Trikuspitalklappe und das Blutflussmuster im Ductus Venosus, ein Blutgefäß, das durch die fetale Leber zum Herzen hin führt.

 

Ist das Risiko unter Bewertung dieser zusätzlichen Kriterien 1:100 oder größer, wird ebenfalls ein invasives Vorgehen empfohlen, ansonsten gelten die Empfehlungen für die Gruppe mit niedrigem Risiko.

 

  • Niedriges Risiko: Risiko ist kleiner 1:1000. In diese Risikogruppe fallen 78 % aller untersuchten Schwangeren und 1 % aller Fälle mit Trisomie 21. In dieser Gruppe wird keine weitere Maßnahme empfohlen.

 

Mit Hilfe dieser Methode (NT mit maternale Biochemie und mit Zusatzmarker) erhöht sich die Erkennungsrate für Trisomie 21 auf 97%, bei einer falsch positiven Rate von 3 %. 

 

Das Ergebnis dieser Risikoanalyse ist eine Wahrscheinlichkeitsberechnung und gibt Ihnen keine Gewissheit darüber, ob Ihr Kind eine Chromosomenstörung hat oder nicht. Es ist daher sehr wichtig, dass Sie sich zuvor bewusst machen, in wie weit Ihnen eine reine Wahrscheinlichkeitsaussage hilfreich ist und welche Konsequenzen Sie aus einem hohen oder niedrigen Risikowert ziehen würden.

 

Wenn Sie die häufigsten Chromosomenstörungen sicher ausschließen möchten, empfehlen wir Ihnen eine Chromosomenanalyse der kindlichen Zellen. Hierzu ist entweder eine Chorionzottenbiopsie (ab der 11+0 SSW) oder eine Fruchtwasserpunktion (ab der 16+0 SSW) erforderlich. Die Möglichkeiten und Risiken dieser Untersuchungen erläutern wir Ihnen gerne in einem Beratungsgespräch.

 

Bei auffälliger Verbreiterung der Nackentransparenz und unauffälligem Chromosomenbefund müssen andere Ursachen (Infektionen, Fehlbildungen des Herzens, der Nieren oder des Skelettsystems) so weit wie möglich ausgeschlossen werden.

 

Hinweis:
Das Ersttrimester-Screening und ist kein Bestandteil der regulären Vorsorgeuntersuchungen in der Schwangerschaft. Die Kosten für Beratung, Ultraschall- und Laboruntersuchung werden von den gesetzlichen Krankenkassen nicht übernommen.

Präklampsie Screening >>>

Schwangerschaftswoche 12+0 bis 13+6

Bei manchen Frauen kann es im Verlauf der Schwangerschaft zu schwerwiegenden Komplikationen kommen. Neuere Untersuchungen haben gezeigt, dass man bereits im ersten Drittel der Schwangerschaft Hinweise auf eventuelle spätere Komplikationen (v.a. Hochdruckerkrankungen in der Schwangerschaft) erhalten kann.

 

Die Präeklampsie (früher „Schwangerschaftsintoxikation, Spät-Gestose) ist eine der häufigsten Komplikationen in der Schwangerschaft. In 2 % aller Schwangere tritt diese Erkrankung bereits vor der 32. Schwangerschaftswoche auf. Vor allem diese frühe Präeklampsie ist zudem oft mit einer kindlichen intrauterinen Wachstumsverzögerung (IUGR) kombiniert. Eine Präeklampsie (PE) kann somit für Mutter und Kind sehr gefährlich werden.

 

Auch wenn die Erkrankung erst ab der 20. Woche mit Krankheitszeichen auftritt, entsteht die eigentliche Ursache, eine gestörte Einnistung und Entwicklung der Plazenta, schon im ersten Drittel der Schwangerschaft. Daher sollte das Risiko für eine Präeklampsie möglichst frühzeitig erkannt werden, damit rechtzeitig eine Prophylaxe begonnen und zudem die Schwangerschaft engmaschig überwacht werden kann.

 

Auf Wunsch der Patientin oder in speziellen Indikationsbereichen kann bereits bei einer differenzierten Ultraschalluntersuchung in der 12. - 14. Schwangerschaftswoche (sinnvoller Weise im Rahmen Ersttrimester-Screening) ein individuelles Risiko für die Entwicklung einer später in der Schwangerschaft auftretenden Präeklampsie errechnet werden. Neben dem biochemischen Parameter PAPP-A werden bei der Berechnung anamnestische und klinische Daten der Schwangeren (wie z. B. Alter, Gewicht, arterieller Blutdruck) sowie die Fließgeschwindigkeit des Blutes in der Gebärmutterarterie (Doppler-Sonographie) berücksichtigt. Die Erkennungsrate für das Auftreten einer Präeklampsie vor der 34. SSW bei Berücksichtigung der o. g. Daten liegt bei 80 Prozent und für eine Präeklapsie vor der 37. SSW liegt bei 68%. Dies gilt für einen Schwellenwert des Risikos von 1:100 und einer Rate der Falsch-Positivbefunde von 10 Prozent (siehe Tabelle). Der negative Vorhersagewert zum Ausschluss einer frühen-Präeklampsie oder für die Entwicklung einer intrauterinen Wachstumsretardierung liegt über 97 %.

 

Bei einer erhöhten Wahrscheinlichkeit sollte unmittelbar eine medikamentöse Prophylaxe mit niedrig dosiertem Aspirin (150 mg pro Tag) begonnen werden. Hiermit kann bei Frauen mit einem erhöhten Risiko das Auftreten einer Präeklampsie deutlich verringert und zudem die schwere Erkrankung in ein höheres Schwangerschaftsalter verschoben werden.

 

Dies wird unterstützt durch die Daten der ASPRE-Studie, die bei einer Dosierung von 150 mg/Tag eine Reduktion der Präeklampsiehäufigkeit vor der 37+0 SSW von 63 % erreicht Die derzeit effektivste Prophylaxe für Patientinnen mit anamnestischem Risiko und/oder hohem Präeklampsierisikoscore im Screening besteht somit in der Einnahme von 150 mg ASS pro Tag. Beginn der Einnahme sollte vor der 16. SSW erfolgen, bis maximal zur 36. SSW. Es wird eine abendliche Einnahme empfohlen, da die Tabletteneinnahme am Abend eine bessere Wirkung auf die Reduktion der PE zeigt. Die Prophylaxe wird heute international von allen Fachgesellschaften empfohlen.

FRUCHTWASSERPUNKTION (AMNIOZENTESE) >>>

   Diese Zusatzuntersuchung geht über die übliche Schwangerenvorsorge hinaus und ist bei uns mit einer ausführlichen Beratung verbunden. Mit ihr erkennen wir beispielsweise Chromosomenstörungen, Neuralrohrverschlussstörungen („offener Rücken“) und – unter bestimmten Voraussetzungen – auch Erbkrankheiten.

Das bei der Untersuchung entnommene Fruchtwasser bildet sich innerhalb von 24 Stunden vollständig nach. Um Ihnen in der Wartezeit bis zum endgültigen Ergebnis einen ersten Hinweis zu geben, bieten wir Ihnen auf Wunsch einen Schnelltest (PCR oder FISH) an.

NABELSCHNURPUNKTION (CHORDOZENTESE) >>>

Dabei werden etwa 2 ml kindliches Blut gewonnen und untersucht. Die Nabelschnurpunktion wird nur unter bestimmten Voraussetzungen angewandt, wie zum Beispiel bei Blutgruppen- Unverträglichkeiten, Infektionen in der Schwangerschaft, kindlicher Blutarmut (Anämie), Verdacht auf kindliche Stoffwechselstörungen und bei Auffälligkeiten im Ultraschall in der späten Schwangerschaft.

ULTRASCHALLFEINDIAGNOSTIK >>>

Die Ultraschalluntersuchung ist ein bildgebendes Verfahren, das nach heutigem Kenntnisstand selbst bei wiederholter Anwendung keine Schäden bei Mutter und Kind verursacht. Eine Ultraschallfeindiagnostik können wir Ihnen optimal zwischen der 20. und 22. SSW anbieten.

Grenzen der Ultraschalldiagnostik
Mit Hilfe der Ultraschalldiagnostik kann ca. 90% der Fehlbildungen oder Erkrankungen des Kindes erkannt und vor allem auch ausgeschlossen werden. Andererseits muss jedoch ausdrücklich darauf hingewiesen werden, dass auch bei moderner apparativer Ausstattung, größter Sorgfalt und umfassenden Erfahrungen des Untersuchers nicht alle Fehlbildungen oder Erkrankungen erkannt werden können. 

Das Übersehen oder Verkennen einer Fehlbildung kann auch dadurch zustande kommen, dass bei bestimmten Begleitumständen (z. B. fettreiche Bauchdecken, Fruchtwassermangel, ungünstige Lage des Kindes) die Untersuchungsbedingungen erschwert werden. Auch sind mit Ultraschall erkennbare Befunde nicht immer eindeutig in ihrer Bedeutung einzuordnen. 

Es ist möglich, dass kleinere Defekte nicht erkannt werden, wie z. B. ein Loch in der Trennwand der Herzkammern, sowie Finger- oder Zehenfehlbildungen.

Zu beachten ist, dass jede Schwangerschaft mit einem sog. Basisrisiko von 2 – 4 % für Fehlbildungen und Erkrankungen des Kindes belastet ist, dabei entfallen etwa 1 % auf schwerwiegende Fehlbildungen. Dieses Basisrisiko ist bei einer insulinpflichtigen Zuckerkrankheit der Schwangeren oder auch bei Mehrlingen erhöht. Ein Ausschluss von Chromosomenanomalien als Alternative zu einer invasiven Diagnostik (Fruchtwasser oder Nabelschnurblut) ist grundsätzlich durch den Nachweis von charakteristischen, aber nicht obligatorisch vorhandenen Hinweiszeichen auf Chromosomenanomalien möglich. Ein Fehlen dieser typischen Befunde kann das Risiko für ein Kind mit Chromosomenanomalien (z. B. Down-Syndrom) zwar mindern, aber nicht ausschließen.

Eingehende Ultraschalluntersuchung

Diese Untersuchung ist wesentlich umfangreicher als der gemäß den Mutterschaftsrichtlinien vorgesehene Ultraschall in diesem Zeitpunkt. Neben speziellen Geräten erfordert er auch große Erfahrung des Untersuchers. 

Entscheidende Rolle bei dieser Untersuchung spielt die Lage des Kindes und die Stärke der mütterlichen Bauchdecken. Dabei betrachten wir alle darstellbaren Organe und Merkmale des Ungeborenen: das altersentsprechende kindliche Wachstum, die Fruchtwassermenge, das Aussehen und die Funktion aller sichtbaren Organe und die Lage und das Aussehen der Plazenta.


Bei der eingehenden Ultraschalluntersuchung können bei manchen ungeborenen Kindern auch Merkmale auffallen, die das statistische Risiko für das Vorliegen eines Down-Syndroms erhöhen. Diese Auffälligkeiten sind keine Fehlbildungen, und sie bewirken auch keine Beeinträchtigungen der betroffenen Organe. Wenn wir bei der Untersuchung einen oder mehrere solcher so genannten „Markern“ entdecken, können wir unter Einbeziehung Ihres Alters eine Risikoabschätzung hinsichtlich eines Down-Syndroms durchführen.

Fetale Echokardiographie

Ein weiterer Bestandteil der weiterführenden Ultraschall-Diagnostik ist die Beurteilung des kindlichen Herzens und der großen Blutgefäße, die fetale Echokardiographie. Dabei untersuchen wir die Lage, Größe und Symmetrie des Herzens, Anatomie der Herzstrukturen, Funktion der Herzklappen, Herzfrequenz und die Lage der großen Gefäße. Mit Hilfe der farbkodierten Doppler-Sonographie des Herzens werden weitere Details untersucht: die Funktion der Herzkammern, Herzscheidewände, Blutflüsse im Herzen und Blutflüsse in den großen Gefäßen. 


Das Ziel dieser Ultraschalluntersuchung des fetalen Herzens ist der weitest mögliche Ausschluss von angeborenen Herzfehlern. Die Voraussetzung hierfür sind eine spezielle Ausbildung und Erfahrung des Arztes in Verbindung mit der hohen Qualität des Ultraschallgerätes. 


Jährlich werden in Deutschland etwa 7000 Kinder mit strukturellen Herzfehlern lebend geboren. Damit zählen Herzfehlbildungen mit ca. 1:100 zu den häufigsten angeborenen Fehlbildungen überhaupt. Bei etwa der Hälfte der Herzfehlbildungen besteht aufgrund der Schwere der Ausprägung eine Operationsnotwendigkeit. Durch Verbesserung der pränatalen Diagnostik kann die Erkennungsrate fetaler Herzanomalien deutlich erhöht werden, um damit den kleinen Patienten durch unmittelbare fachkompetente Behandlung einen besseren Einstieg in das Leben zu ermöglichen. 


Dank der zunehmenden Verbesserung der Geräte und durch die Qualifizierung besonderer Ärzte kann auch ein Großteil der Herzfehlbildungen bereits zwischen 13. und 14. SSW erkannt bzw. ausgeschlossen werden.


Die endgültige Beurteilung des Herzens, seiner Funktion und der Blutflüsse, erfolgt jedoch erst zwischen 19. und 21. SSW und sollte in der Regel mit der 22./23. SSW abgeschlossen sein. Zu einem späteren Zeitpunkt in der Schwangerschaft ist die Diagnostik häufig durch die ungünstige Lage des Kindes sowie durch die schlechte Schalldurchlässigkeit der Rippen beeinträchtigt.

Mit Hilfe der fetalen Echokardiographie lassen sich die meisten der angeborenen Herzfehler (ca. 83 %) erkennen. Es gibt jedoch auch Herzfehler, die in der 20. Schwangerschaftswoche noch nicht (oder schwer) erkennbar sind. Dazu gehören Verengungen an den Herzklappen, deren Folgen erst später sichtbar werden. Auch ein kleines „Loch" in der Trennwand der Herzkammern ist nicht immer feststellbar.

Die meisten angeborenen Herzfehler können heutzutage sehr gut operiert werden. Die Erfolgsrate der Behandlung steigt nachweislich bei vorgeburtlicher Entdeckung. Bei Feststellung bzw. einem Verdacht auf einen fetalen Herzfehler erfolgt eine gezielte Beratung unter Hinzuziehung von Kinderkardiologen. Wir besprechen mit Ihnen, wo und unter welchen Bedingungen die Geburt stattfinden sollte und wie das Vorgehen nach der Geburt aussieht.

 

Dopplersonographie

Auch das Durchblutungsverhalten in der Nabelschur und in den Gebärmuttergefäßen wird mit Hilfe des Doppler-Ultraschalls dargestellt. Diese Untersuchung ist eine ergänzende Untersuchung im Rahmen der US-Feindiagnostik und ermöglicht eine Beurteilung des Blutflusses in den kindlichen und mütterlichen Gefäßen mittels einer speziellen Technik. Bei dieser Untersuchung wird die Blutströmung farbig und akustisch dargestellt. Die Geräusche, die man während der Untersuchung hören kann, entstehen durch technische Effekte (Doppler-Effekt), welche der Untersucher und die werdende Eltern hören können, jedoch nicht das ungeborene Kind. 


Durch Darstellung der Blutflussmuster in den mütterlichen Gefäßen (Arterie uterina rechts und links) zwischen der 20.-25. SSW können Feten mit dem Risiko einer späteren Mangelversorgung (Plazentainsuffizienz) entdeckt und somit im weiteren Schwangerschaftsverlauf optimal überwacht werden. Ein erhöhtes Risiko für die Entwicklung einer Präeklampsie (mütterlicher Bluthochdruck und Eiweißausscheidung im Urin) kann ebenso festgestellt werden.


Die Beurteilung des Blutflusses in den kindlichen Gefäßen (Nabelschnurarterie [A. umbilicalis], A. cerebri media und Ductus venosus) ermöglicht eine Aussage zur Versorgung des ungeborenen Kindes. Die Doppleruntersuchung kann in unterschiedlichen Zeitpunkten der Schwangerschaft durchgeführt werden. 


Sollte bei der Dopplersonographie der Verdacht auf eine Mangelversorgung des Kindes oder einen Präeklapsie erhoben werden, können entsprechend der vorliegenden Risikoschwangerschaft Vorsorgemaßnahmen eingeleitet werden.

3D-/4D-Ultraschall (optional)

Immer mehr werdende Eltern interessieren sich für die faszinierenden Bilder, die dieses Verfahren liefert. Die plastische, dreidimensionale Darstellung der Oberfläche des Gesichts und anderer Körperregionen wird durch spezielle Bildrekonstruktion in schnellen Rechnern erreicht. Auch einzelne innere Organe oder „Gefäßbäume“ können von allen Seiten betrachtet werden. Viele dünne Schnittebenen (2D) werden zu einer gemeinsamen 3D-Sichtweise im Computer des Ultraschallgerätes zusammengeführt. Unter einem 4D-Ultraschall versteht man darüber hinaus eine 3D-Ultraschalluntersuchung unter Echtzeitbedingungen. Anstatt nur statische Bilder anzuzeigen, erfasst ein 4D-Ultraschall die Bewegungen des Kindes, weshalb er auch als „Live-3D-Ultraschall“ bezeichnet wird. 

Diese Vorgehensweise ermöglicht äußerst realistische Bilder, bei denen sogar Gestik und Mimik des Kindes in bewegten Sequenzen festgehalten werden können. Die Untersuchung kann wie auch der normale Ultraschall während des gesamten Schwangerschaftszeitraums durchgeführt werden. Möchte man das Ungeborene komplett sehen, wird die 12. bis 16. Schwangerschaftswoche empfohlen, die Zeit zwischen der 28. und 33. Schwangerschaftswoche eignet sich besonders zur präzisen Darstellung einzelner Körperteile
Wir sehen in diesem modernen Verfahren in erster Linie eine ergänzende Maßnahme bei speziellen Fragestellungen bezüglich Herz, Gehirn oder Skelett und vor allem bei Verdacht auf eine fetale Besonderheit.

Hinweis:
Die 3D/4D-Verfahren sind aktuell nicht im Leistungskatalog der gesetzlichen Krankenkassen im Rahmen der Mutterschaftsvorsorge verankert. Wir führen diese Darstellung nur mit einer vorherigen gezielten Fehlbildungsdiagnostik durch. Diese Zusatzdiagnostik kann bei Ihnen als selbst zu tragende Leistung durchgeführt werden.

X
Profil in der 21. Woche
Profil in der 25 Woche
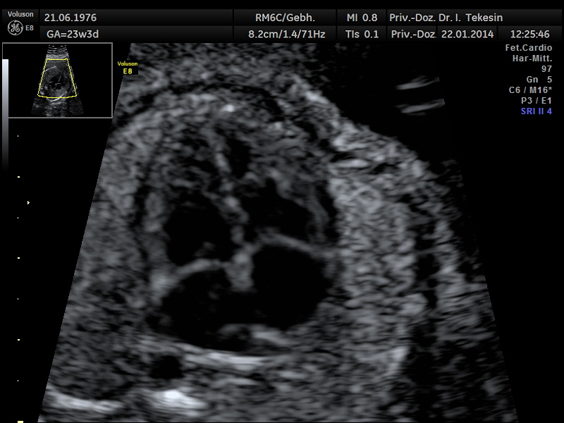
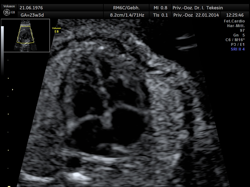
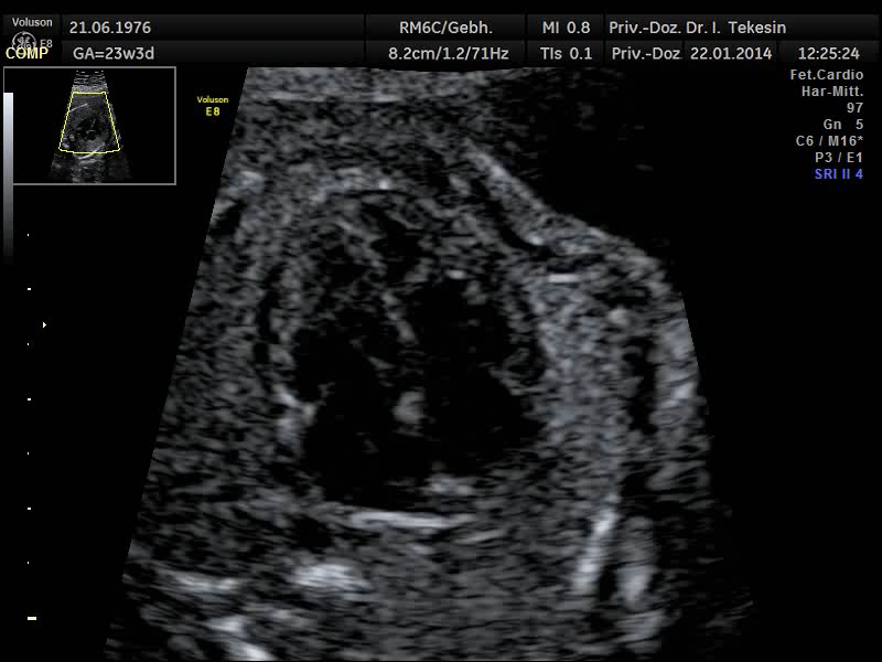
Normaler Vierkammer-­‐Blick
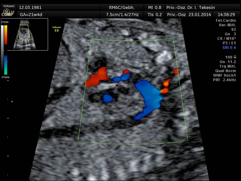
Normaler Vierkammer–Blick mit Farbe
X
Kind in der 12. Woche
Kind in der 13. Woche
Dichoriale Zwillinge in der 11. Woche (3D-Darstellung)
Monochoriale Zwillinge in der 13. Woche (3D-Darstellung)
X
Ein Fuß
Ein gähnendes Kind in der 38. Woche
Ohr und Haare in der 34. Woche
Fünf Finger
X
Darstellung der normalen NT und NB in der 13. SSW
Scheitel-Steiß-Länge (SSL) in der 13. SSW
Fetale Zirkulation in der 13. SSW
Darstellung des DV in der 13. SSW mittels Farb-Doppler
Kind in der 12. Woche (3D-Darstellung)
Kind in der 13. Woche (3D-Darstellung)
Dichoriale Zwillinge in der 11. Woche (3D-Darstellung)
Monochoriale Zwillinge in der 13. Woche (3D-Darstellung)
X
Kind in der 28. Woche (3D-Darstellung)
Fünf Finger (3D-Darstellung)
Ein Fuß (3D-Darstellung)
Ein freches Kind in der 38. Woche (3D-Darstellung)
Ohr und Haare in der 34. Woche (3D-Darstellung)
Profil in der 21. Woche
X
Normaler Vierkammer-Blick
Normaler Vierkammer-Blick mit Farbe
Normales Herz in der 24. Woche
Normales Herz in der 22. Woche
Aortenbogen
Aortenbogen in Farbe