Downloads
Hier haben wir unsere Broschüren und detaillierte Informationen zu den einzelnen Untersuchungen für Sie als PDF zum Download bereitgestellt.
Die "10 goldenen Regeln für die Durchführung eines NIPT-Tests“
Mediathek
Hier können Sie typische Aufnahmen sehen, die während einer eingehenden gemacht werden.
Normale Nackentransparenz (NT) und normaler Nasenbein (NB) in der 13. Woche
Scheitelsteißlänge (SSL) in der 13. Schwangerschaftswoche (SSW)
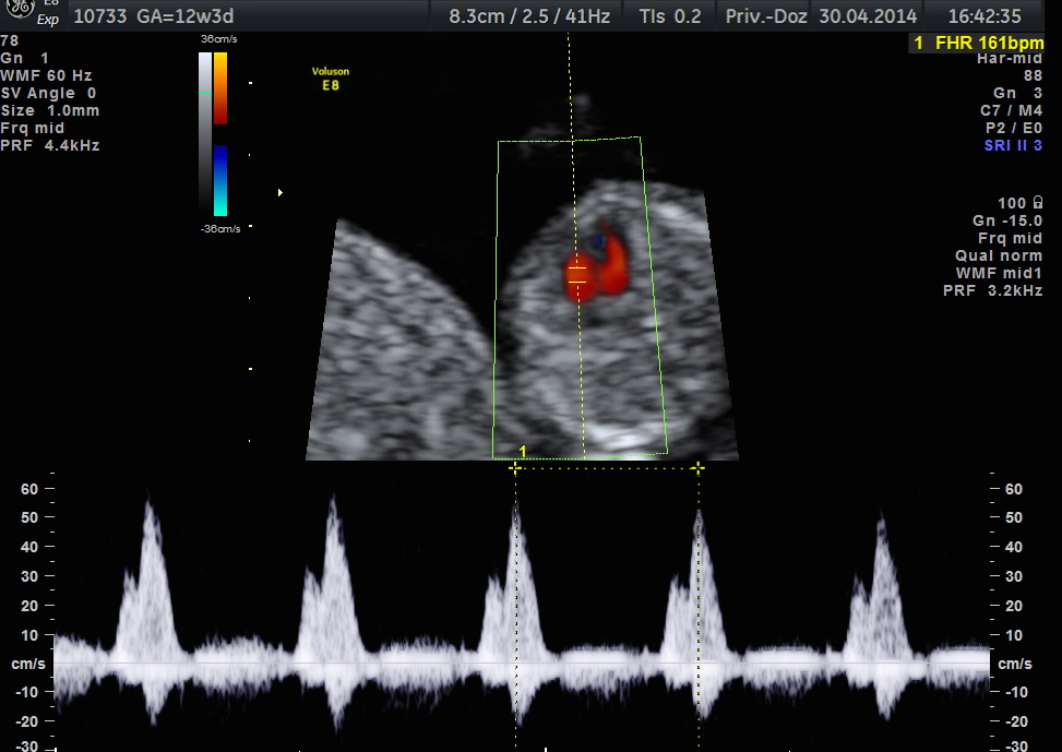
Normaler Blutfluss über die rechte Herzklappe (Trikuspitalklappe - TK) in der 13. Woche
Normaler Blutfluss zum Herzen (Ductus venosus - DV)
Darstellung der normalen NT und NB in der 13. SSW
Scheitel-Steiß-Länge (SSL) in der 13. SSW
Normaler Vierkammer-Blick mit Farbe
Normales Herz in der 22. Woche
Fetale Zirkulation in der 13. SSW
Frühe Fehlbildungsdiagnostik in der 13. SSW
Darstellung des Herzens in der 13. SSW mittels Farb-Doppler
Darstellung des DV in der 13. SSW mittels Farb-Doppler
Darstellung des TK in der 13. SSW mittels Farb-Doppler
Kind in der 12. Woche (3D-Darstellung)
Kind in der 13. Woche (3D-Darstellung)
Kind in der 28. Woche (3D-Darstellung)
Ein freches Kind in der 38. Woche (3D-Darstellung)
Ohr und Haare in der 34. Woche (3D-Darstellung)